Cosmetic Dentistry Services
Troy, MI
Family Oriented
New Patients Always Welcome
Emergency Service & Saturday Availability
Hours:
Discover the Art of a Beautiful Smile
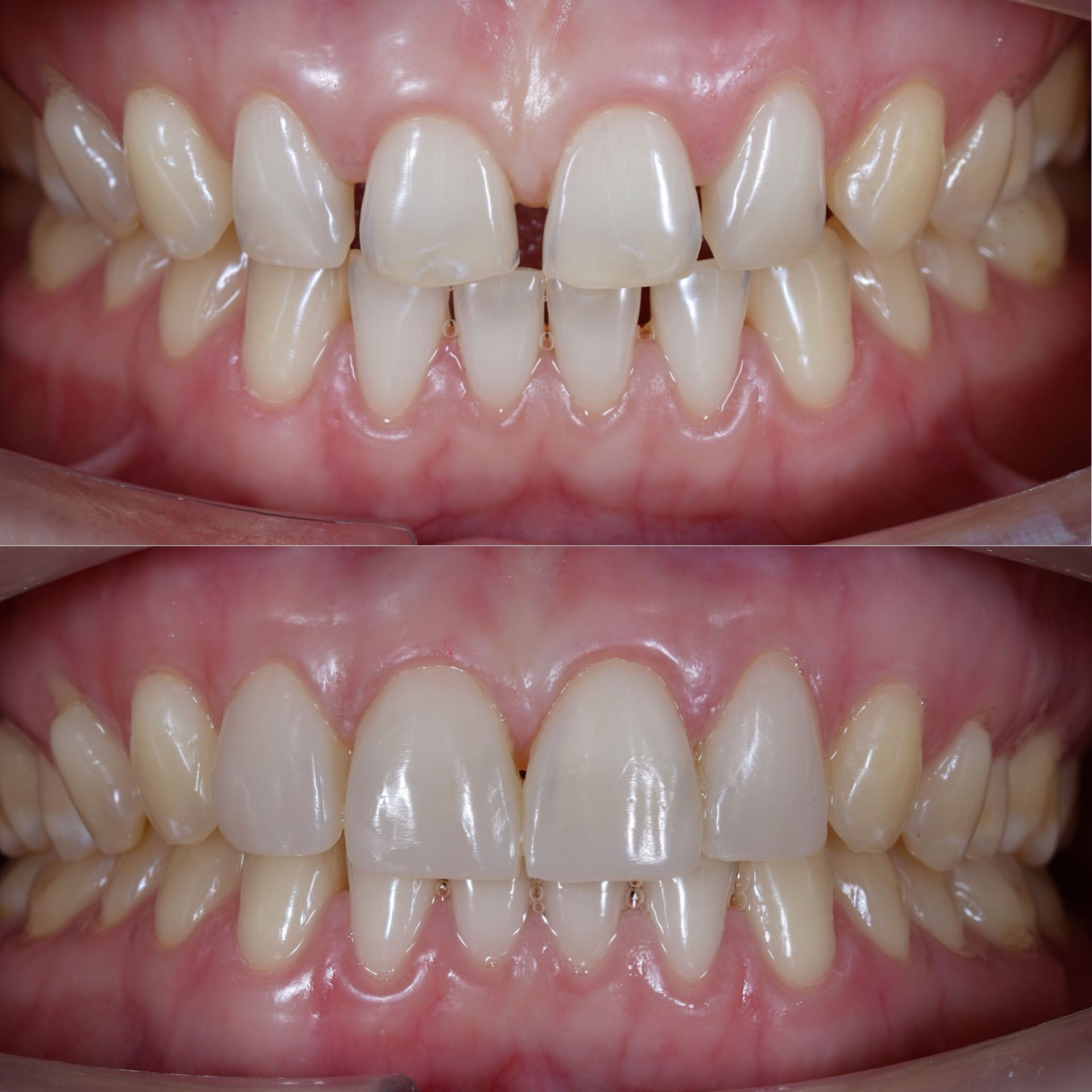
At Square Lake Family Dentistry in Troy, MI, we're passionate about helping you achieve the smile of your dreams. Our cosmetic dentistry services are designed to enhance your natural beauty and boost your confidence. We understand that a radiant smile can make a world of difference in your personal and professional life. That's why we offer a range of cosmetic treatments, tailored to meet your unique needs.
We believe that everyone deserves a smile they're proud to show off. Whether you're looking to brighten your teeth, correct minor imperfections, or completely transform your smile, we've got you covered. We're not just focused on improving your smile's appearance; we're dedicated to maintaining your overall oral health. Contact us today to schedule your appointment at Square Lake Family Dentistry.
Text 
Msgs may be autodialed. Consent to texts not required to purchase our svcs. Msg. and data rates may apply.
Why Choose Square Lake Family Dentistry
Free Zoom Whitening on Any Cosmetic Procedure
Free Periodontal Evaluations
Free Exams and X-Rays for Those Without Insurance
Free Zoom Whitening with Invisalign
Available for Dental Emergencies
New Patients are Always Welcome

Bonding Dentistry
Our bonding services offer a quick and effective solution for minor dental imperfections. This conservative treatment can repair chipped, cracked, or discolored teeth, close small gaps, and even change the shape of teeth.
Contouring Dentistry
Dental contouring is a subtle yet impactful way to refine your smile. Our experts can reshape and smooth out minor irregularities in your teeth, such as slight overlaps, rough edges, or small chips.
Porcelain Veneers
For a dramatic smile transformation, consider our custom-made porcelain veneers. These ultra-thin shells are designed to cover the front surface of your teeth, masking imperfections and creating a flawless, natural-looking smile.
Smile Makeovers
Our smile makeovers combine multiple cosmetic treatments to achieve your ideal smile. We'll work closely with you to develop a treatment plan that may include a combination of whitening, veneers, bonding, and other procedures.
Teeth Whitening
Brighten your smile with our teeth whitening services. We offer both in-office and take-home whitening options to suit your preferences and lifestyle. Our treatments are safe, effective, and can dramatically improve teeth coloration.

CP #1 Headline
CP #1 Body
CP #1 CTA Lead-in
 
 CP #1 Headline
CP #1 Body
CP #1 CTA Lead-in
 
 CP #2 Headline
CP #2 Body
CP #2 CTA Lead-in
Here's what our satisfied patients are saying...
At Square Lake Family Dentistry, we take pride in providing exceptional whole-family dental care to our patients. We would be grateful if you could share your thoughts about our practice with others. Your feedback helps us improve and helps others make informed decisions. Please take a moment to leave a review of Square Lake Family Dentistry and let others know what you think.















